close


img

15+ Years of Dental Excellence

Best Dentist Near Me in Mukherjee Nagar

⭐⭐⭐⭐⭐ 5/5 Star Rating from 200+ Happy Patients | Same-day appointments available | Pain-free procedures guaranteed | Trusted by 45,000+ North Delhi families for 15+ years

Inside Our Dental Clinic Near You

Clean. Modern. Safe

img
img
img
img
img
img
img

15+

Years of Experience in Impant & Orthodontic Dentistry

35.4k

Happy Smile Designing Cases

20k+

Happy Patients with Happy Smiles

200

5 Star Reviews on Google

Request A Call Back

Why Choose Dr.Modi's Shining Smiles Dental Clinic

Trusted by Thousands of Smiling Patients

Experienced & Trusted Dentists

With over 15 years of experience, our expert team has helped thousands of patients restore their smile. If you’re looking for a reliable dental clinic near me, you’re in safe, skilled hands.

Rated 5.0★ by 200+ Happy Patients

Nothing builds trust like real reviews. From Google to word-of-mouth, patients love our care, our staff, and the results. Our clinic is proud to be one of the highest-rated dental clinics in Delhi.

Same-Day Appointments

We understand your time is valuable. That’s why we offer same-day appointments, fast service, and a staff that treats every patient with warmth, respect, and patience

REVIEWS & TESTIMONIALS

Real Stories. Happy Smiles. Trusted by Thousands in Mukherjee Nagar, Delhi

Loved everything so far

I recently went to the Dr.Modi's Shining Smiles Dental Clinic at Mukherjee Nagar and got treated by Dr Rishi Modi. I can assure you no one has ever treated you with so much professionalism. He will go into the minutest details and give you the best possible treatment. Highly meticulous and great quality of work.

- Komal Gera

Great Experience

Great experience! The clinic is very clean . Dr Rishi made us feel comfortable throughout our visit , highly recommend for anyone looking for quality dental clinic .

- Tsering Chorol

Welcoming Atmosphere

I had an excellent experience at Dr. Modi’s Shining Smiles Dental Clinic for my cleaning appointment. The staff was incredibly friendly and welcoming from the moment I walked in. Dr. Modi did a fantastic job, he explained everything clearly. The clinic was modern, clean, and very well-organized. I felt completely at ease throughout the visit. I’ll definitely be coming back and highly recommend this clinic to anyone looking for quality dental care.

- Kashish Arora

Best Dental Clinic

This is the best clinic to get treatment done by experienced Dr. Rishi Modi. Painless extraction of wisdom tooth. Well maintained and hygienic. Good service, supporting staff attended very well. Very good place to get dental treatment done at affordable pricing. Thank you so much dr. Rishi modi for treating me in such a great manner.

- Amit Trivedi

Highly Recommended

Dr. Rishi Modi is an excellent and very knowledgeable doctor. He listens carefully, explains treatment options clearly, and makes patients feel comfortable. The clinic is clean, well-organized, and the staff is professional and polite. I had a very positive experience, and the treatment given by Dr. Rishi Modi was effective. Highly recommended for anyone looking for trusted medical care.

- Aniket Aryan

Wonderful Experience

I had a wonderful experience with Dr. Anjali Modi. She is extremely professional, patient, and gentle in her approach. The clinic is well-maintained and hygienic, and the staff is also very courteous.

- Abhishek Gandhi

Your Trusted Dentists In Mukherjee Nagar , Delhi

img

Dr. Rishi Modi, BDS,MDS-(Prosthodontics & Implantology) Dr.Anjali Modi , BDS,MDS- (Orthodontics & Dentofacial Orthopedics)

We are Dr. Rishi Modi (MDS – Prosthodontics & Implantology) and Dr. Anjali Modi (MDS – Orthodontics), a trusted dentist couple in Mukherjee Nagar, North Delhi, running Dr. Modi’s Shining Smiles Dental Clinic. With over 12 years of clinical experience and 45,000+ patients treated, we are widely recognized by patients searching for the best dentist near me or a reliable dental clinic near Mukherjee Nagar. Dr. Rishi Modi specializes in dental implants, crowns & bridges, full-mouth rehabilitation, smile designing, and advanced restorative dentistry, while Dr. Anjali Modi is an expert in braces, clear aligners, orthodontic treatment, and smile correction for children and adults. This unique combination allows us to provide complete dental treatment under one roof, eliminating referrals and delays. Our clinic is known across North Delhi for ethical dentistry, pain-free procedures, transparent pricing, modern equipment, and strict hygiene standards. Patients choose us not just for expertise, but for honest guidance, clear communication, and long-term results. As a dentist couple, our shared mission is to deliver trustworthy, patient-first dental care, where every visit feels calm, professional, and reassuring—from consultation to follow-up.

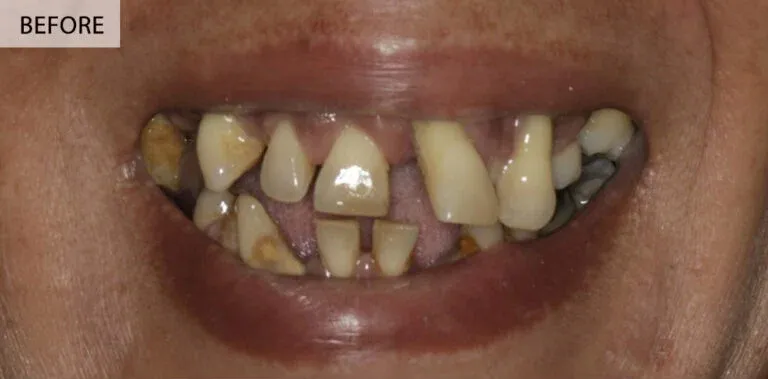
SMILE TRANSFORMATIONS

Transformations at Dr.Modi's Shining Smiles Dental Clinic

img
img
img
img
img
img
img
img
img
img
img
img

Expert Care, Close to Home

img

Root Canal & Crowns

img

Clear Aligners

img

Dental Braces

img

Dental Implants

img

Full Mouth Rehabilitation

img

Gum Surgeries

Get in Touch With Us

Clinic Phone Number

+91 9899677880

Clinic Address

Commercial Complex, B-16, opposite Aggarwal sweets, Mukherjee Nagar, Delhi, 110033

Frequently Asked Questions:


How do I find a trusted dentist near me?

The best way to find a reliable dentist is to look around your area, read online reviews, and speak to people you trust. Many people search for a dentist near me or dental clinic in and check photos or ratings before deciding. More than just a clinic, it’s about how comfortable you feel, whether the doctor listens, whether the place looks clean, and whether things are explained properly. Once you find a place that makes you feel calm and understood, that’s usually the right one for you.

Do you offer same-day appointments?

Yes, we try to keep slots available for urgent cases. If you suddenly have pain or discomfort, it's best to call or message us right away. A lot of people searching for a dentist in prefer same-day bookings when something can't wait. While appointments help us plan better, we always try to accommodate walk-ins or emergencies as much as possible. It’s better to check once before coming so we can save you waiting time and prepare everything in advance.

Is your dental clinic in open on weekends?

We are open on weekends in most cases. Many patients find it easier to come on Saturdays or evenings due to work or family schedules. If you're looking for a dental clinic near me with flexible timings, just drop us a message and we’ll guide you. We understand not everyone is free during weekdays, so we try to be available when it's convenient for you. Some slots may get booked quickly though, so it's best to check ahead.

How do I book an appointment?

You can call us, send a message on WhatsApp, or use the booking form on our website. Many people in looking for a dentist near me prefer WhatsApp because it’s fast and easy. Once we know your name and preferred time, we’ll confirm your slot and share the details. If you have questions about the treatment or directions to the clinic, our team is happy to help. The idea is to make things simple so you feel relaxed before even walking in.

Do you treat anxious or first-time patients?

Yes, we do. In fact, many people who come to us are either nervous or haven’t seen a dentist in a long time. If you’re searching for a dental clinic near you but feel unsure or afraid, just know that you're not alone. We take extra care with such patients we explain things slowly, give time to settle in, and check in with you throughout the treatment. There's no rush here. Your comfort comes first, and you're always in control of how things go.

What services do you provide?

We offer most common dental treatments in one place cleanings, fillings, root canal treatments, cosmetic work, braces, and more. If you’re looking for a dentist in for regular check-ups or something specific, we’ll first understand your need and then suggest the best option. You don’t have to know the names of procedures before visiting that’s what we’re here for. Our goal is to give you simple, clear information and let you decide what works best.

How much does a consultation cost?

We keep our consultation fees reasonable so more people can access quality dental care. If you just want to get something checked or speak to the doctor before deciding, we’ll walk you through the process clearly. Many people looking for a dental clinic in want to know the cost before coming and that’s completely understandable. Once you contact us, we’ll share all the details. No surprises, no unnecessary treatments just honest guidance.

Do you accept walk-ins?

Yes, walk-ins are welcome depending on the day’s schedule. If you're in and need a dentist near me urgently, you can drop by or call ahead. We try to keep some buffer for people who have unexpected issues like toothaches or swelling. If you message before coming, we can help reduce your wait time. Our team will guide you on the best time to come so you don’t have to sit too long or return later.

Is the treatment painful?

Most treatments are not painful, especially with modern methods. We use proper numbing, go step-by-step, and always check how you're feeling. If you’ve been avoiding a dentist near you because of fear, know that we hear this a lot and we understand. Once things are explained clearly and you’re comfortable, most people feel much more relaxed. You're always free to take breaks during the treatment too. Our aim is to make your visit as easy as possible.

Do you treat children and families?

Yes, we regularly see children, parents, and elderly patients. If you're looking for a dental clinic in that’s friendly with kids or convenient for families, you're in the right place. We try to make the experience light and stress-free, especially for little ones who might be nervous. You can even book appointments together as a family if that works better. We believe dental care should be comfortable for all age groups from toddlers to grandparents.

What hygiene and safety measures do you follow?

We maintain a clean and safe environment in the clinic. All tools are properly cleaned, the staff wears protective gear, and we sanitise surfaces regularly. If you’re visiting a dentist near me and are concerned about hygiene, that’s a valid and important question. We also give time between patients to clean everything properly. Patients often tell us they feel safe here just by how we manage cleanliness. We treat this as a non-negotiable part of care — not just something we say.

Do you offer EMI or flexible payments?

Yes, we try to make payments easy, especially for treatments that need multiple visits. If you're planning something like cosmetic work or aligners and wondering how to manage the cost, feel free to ask us. People often message us saying they’re looking for a dentist in with payment flexibility and we do our best to help. Our team will explain your options clearly and let you decide what suits you best. The focus is on care first, not pressure.

Why choose this clinic over others near me?

Choosing a dental clinic is about more than location it’s about how you feel when you walk in. Patients looking for a dental clinic near me often say they chose us because things feel calm and genuine here. We give you time, explain the treatment, and let you decide without rushing or forcing anything. It’s not just about fixing teeth it’s about feeling safe, heard, and cared for. That’s what makes the difference.

Powered by @AltXEd